Implantología Dental

Nuestros servicios de implantes dentales están diseñados para restaurar la funcionalidad y estética de tu sonrisa. Utilizamos tecnología de vanguardia y materiales de alta calidad para garantizar que cada implante se integre de manera efectiva en tu mandíbula, ofreciendo un soporte duradero para coronas, puentes o dentaduras. Nuestros especialistas te guiarán en cada paso del proceso, desde la evaluación inicial hasta el seguimiento postoperatorio.

Un modelo de un implante dental con una corona sobre él.

¿Qué es un Implante Dental?

 

Un implante dental es un dispositivo artificial que se inserta quirúrgicamente en el maxilar o mandíbula para reemplazar la raíz de un diente perdido. Está diseñado para proporcionar una base sólida y duradera para coronas, puentes o dentaduras, ofreciendo una solución funcional y estética para quienes han sufrido la pérdida de uno o más dientes.

¿Por qué es Importante un Implante Dental?

 

El implante dental es crucial por varias razones:

 

- Restauración de la Funcionalidad: Permite recuperar la capacidad de masticar y hablar adecuadamente.

- Estética Mejorada: Restaura la apariencia natural de la sonrisa, mejorando la autoestima y confianza del paciente.

- Prevención de Pérdida Ósea: Al reemplazar la raíz del diente, los implantes ayudan a mantener el volumen y la densidad ósea en la mandíbula, evitando el colapso facial que puede ocurrir con la pérdida dental.

 

Consecuencias de No Reemplazar un Diente Perdido 

 

No reemplazar un diente perdido puede acarrear diversas consecuencias, como:

 

- Desplazamiento de Dientes Adyacentes**: Los dientes cercanos pueden moverse hacia el espacio vacío, causando desalineación dental.

- Problemas de Mordida: La falta de un diente puede alterar la forma en que muerdes y masticas, provocando dolores de mandíbula y problemas en la articulación temporomandibular (ATM).

- Pérdida Ósea: Sin la estimulación que proporciona la raíz del diente, el hueso de la mandíbula puede comenzar a deteriorarse, lo que puede llevar a cambios en la estructura facial.

- Aumento del Riesgo de Enfermedades Bucales: Los espacios vacíos pueden ser más difíciles de limpiar y pueden contribuir a problemas de salud dental.

 

 

Materiales y Partes de un Implante Dental 

 

Los implantes dentales están compuestos por varios elementos:

 

- Tornillo de Titanio: La parte que se inserta en el hueso, fabricada generalmente de titanio, un material biocompatible que se integra perfectamente con el hueso.

- Pilar: Un conector que se coloca sobre el tornillo y sostiene la corona dental.

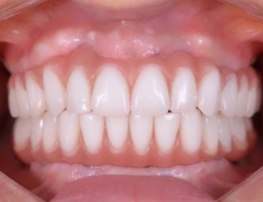
- Corona Dental: La parte visible del implante, que se fabrica a medida para coincidir con el color y forma de los dientes naturales.


Un primer plano de la boca de una persona a la que le falta un diente.
Un primer plano de los dientes de una persona con las palabras

Compara el resultado moviendo el deslizador